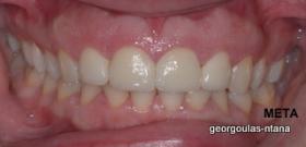
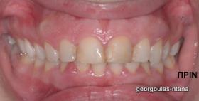
ΑΠΟΚΑΤΑΣΤΑΣΗ ΑΝΩ ΤΟΜΕΩΝ ΜΕ ΟΛΟΚΕΡΑΜΙΚΗ ΣΤΕΦΑΝΗ Κ ΟΨΕΙΣ ΠΟΡΣΕΛΑΝΗΣ

Η ασθενής ήταν δυσαρεστημένη με την αισθητική εμφάνιση των άνω τομέων, οι οποίοι έφεραν εκτεταμένα σφραγίσματα σύνθετης ρητίνης. Οι υπάρχουσες αποκαταστάσεις είχαν αποχρωματιστεί ενώ στα όριά τους λόγω κακής εφαρμογής είχαν προσροφήσει χρωστικές. Αποφασίστηκε η αποκατάσταση των δοντιών με όψεις πορσελάνης που απαιτούν την ελάχιστη δυνατή αφαίρεση οδοντικής ουσίας. Ο δεξιός κεντρικός τομέας, λόγω της ήδη μεγάλης απώλειας οδοντικής ουσίας που παρουσίαζε αποκαταστάθηκε με ολοκεραμικη στεφάνη.