ΤΟΠΟΘΕΤΗΣΗ 2 ΕΜΦΥΤΕΥΜΑΤΩΝ ΣΤΗΝ ΑΝΩ ΓΝΑΘΟ ΚΑΙ ΚΑΤΑΣΚΕΥΗ ΓΕΦΥΡΑΣ ΕΠΙ ΑΥΤΩΝ

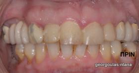
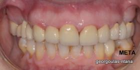
 Η ασθενής αυτή είχε στη δεξιά πλευρά της άνω γνάθου μια εκτεταμένη ακίνητη αποκατάσταση (γέφυρα) με πέντε δόντια (κυνόδοντας, πρώτος κ δεύτερος προγόμφιος, πρώτος κ δεύτερος γομφίος) που στηριζόταν στον κυνόδοντα κ τον δεύτερο γομφίο. Λόγω της μεγάλης της έκτασης, της μη καλής εφαρμογής της και των μεγάλων μασητικών δυνάμεων που δεχόταν, η γέφυρα ξεκολλούσε συχνά. Τοποθετήθηκαν 2 εμφυτεύματα στις θέσεις του πρώτου προγόμφιου κ του πρώτου γομφίου, τα οποία αποτέλεσαν στηρίγματα μιας γέφυρας 3 δοντιών. Στον κυνόδοντα κ στον δεύτερο γομφίο τοποθετήθηκαν μονήρεις στεφάνες (θήκες).