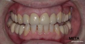
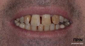
ΠΡΟΣΘΕΤΙΚΗ ΑΠΟΚΑΤΑΣΤΑΣΗ ΣΤΗΝ ΑΝΩ Κ ΚΑΤΩ ΓΝΑΘΟ ΚΑΙ ΤΟΠΟΘΕΤΗΣΗ ΕΜΦΥΤΕΥΜΑΤΩΝ ΜΕ ΚΛΕΙΣΤΗ ΑΝΥΨΩΣΗ ΙΓΜΟΡΕΙΟΥ

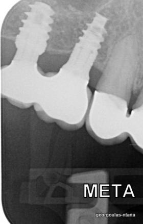
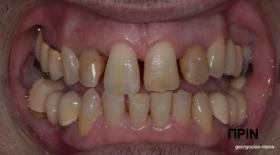
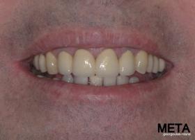
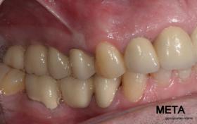
 Ο ασθενής  προσήλθε στο ιατρείο μας θέλοντας να βελτιώσει την εμφάνιση των πρόσθιων δοντιών του και να αποκαταστήσει την υγεία κ την λειτουργία όλου του στόματος. Πραγματοποιήθηκε περιοδοντική θεραπεία κ ενδοδοντικές θεραπείες (απονευρώσεις) όπου κρίθηκε απαραίτητο και στη συνέχεια τοποθετήθηκαν 3 εμφυτεύματα, 2 δεξιά στις θέσεις του πρώτου κ δεύτερου γομφίου κ 1 αριστερά στη θέση του πρώτου προγομφίου. Κατά την  τοποθέτηση των 2 εμφυτευμάτων της δεξιάς πλευράς, πραγματοποιήθηκε κλειστή ανύψωση ιγμορείου με το σύστημα Piezotome-Intralift , τεχνική που εξασφαλίζει τη μικρότερη δυνατή επέμβαση κ τη μικρότερη μετεγχειρητική ταλαιπωρία (minimally invasive), καθώς κ αυξητικους παράγοντες PRF. Σε όλη τη διάρκεια της θεραπείας  ο ασθενής ήταν καλυμμένος τόσο αισθητικά όσο και λειτουργικά με προσωρινές μεταβατικές αποκαταστάσεις. 4 μήνες μετά την  τοποθέτηση των εμφυτευμάτων κ την οστεοενσωμάτωσή τους, ακολούθησε η τοποθέτηση των μόνιμων αποκαταστάσεων.