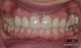
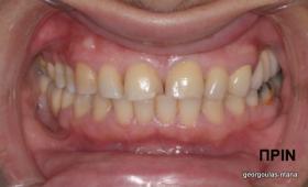
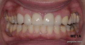
ΑΙΣΘΗΤΙΚΗ ΑΠΟΚΑΤΑΣΤΑΣΗ ΑΝΩ ΠΡΟΣΘΙΩΝ ΔΟΝΤΙΩΝ ΜΕ ΟΛΟΚΕΡΑΜΙΚΕΣ ΣΤΕΦΑΝΕΣ ΑΠΟ ΔΙΠΥΡΙΤΙΚΟ ΛΙΘΙΟ (Emax)

 Η ασθενής αυτή είχε διαβρώσεις στα πρόσθια δόντια κ έντονες αποτριβές κυρίως στους κεντρικούς τομείς. Αποφασίστηκε να καλυφθούν τα 5 πρόσθια δόντια (κεντρικοί κ πλάγιοι τομείς δεξιά κ αριστερά κ δεξιός κυνόδοντας) με ολοκεραμικές στεφάνες από διπυριτικό λίθιο (Emax) ώστε να αποκατασταθεί τόσο η αισθητική όσο κ η λειτουργία της ασθενούς. Ο αριστερός κυνόδοντας επειδή αποτελούσε στήριγμα προϋπάρχουσας εργασίας δε συμπεριλήφθηκε στη νέα προσθετική αποκατάσταση.