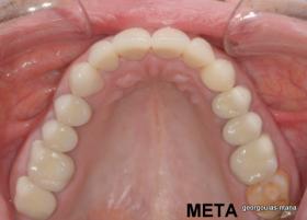
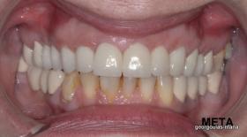
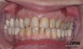
ΟΛΙΚΗ ΑΠΟΚΑΤΑΣΤΑΣΗ ΑΝΩ ΓΝΑΘΟΥ
Η ασθενής ήταν δυσαρεστημένη από την εμφάνιση των άνω δοντιών της. Ήθελε τα δόντια της να αποκτήσουν ομοιόμορφο, πιο λευκό χρώμα κ να αποκτήσει ένα πιο αρμονικό χαμόγελο με φυσική εμφάνιση. Λόγω των εκτεταμένων εμφράξεων σύνθετης ρητίνης στα πρόσθια δόντια, των εμφράξεων αμαλγάματος στα πίσω αριστερά δόντια αλλά και της υπάρχουσας γέφυρας στα πίσω δεξιά δόντια, και σε συνδυασμό με την επιθυμία της ασθενούς για φυσικό αποτέλεσμα αποφασίστηκε η τοποθέτηση ολοκεραμικών στεφανών στα δόντια της άνω γνάθου. Στη θέση του δεύτερου προγομφίου δεξιά τοποθετήθηκε εμφύτευμα. Πραγματοποιήθηκε περιοδοντική θεραπεία, ενδοδοντικές θεραπείες (απονευρώσεις) κ τοποθετήθηκαν ενδορριζικοί άξονες υαλονημάτων όπου κρίθηκε απαραίτητο. Σε όλη τη διάρκεια της θεραπείας η ασθενής ήταν καλυμμένη αισθητικά κ λειτουργικά με προσωρινές αποκαταστάσεις.


