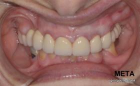
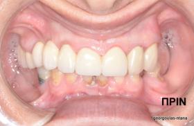
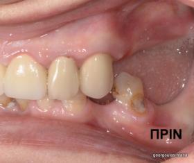
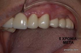
ΑΝΟΙΚΤΗ ΑΝΥΨΩΣΗ ΙΓΜΟΡΕΙΟΥ Κ ΤΟΠΟΘΕΤΗΣΗ 3 ΕΜΦΥΤΕΥΜΑΤΩΝ

 Στην ασθενή αυτή πραγματοποιήθηκε ανοικτή ανύψωση ιγμορείου άνω αριστερά. Σε πρώτη φάση πραγματοποιήθηκε η οστική αύξηση και 6 μήνες μετά τοποθετήθηκαν 3 εμφυτεύματα. Τόσο στην πανοραμική όσο και στην τομογραφία κωνικής δέσμης (CBCT) που πραγματοποιήθηκαν 6 μήνες μετά την ανύψωση είναι εμφανής ο σχηματισμός οστού. Η τελευταία ακτινογραφία και φωτογραφία λήφθηκαν 5 χρόνια μετά την προσθετική αποκατάσταση.