ΤΟΠΟΘΕΤΗΣΗ ΕΜΦΥΤΕΥΜΑΤΩΝ ΣΤΗΝ ΠΕΡΙΟΧΗ ΤΩΝ ΑΝΩ ΤΟΜΕΩΝ
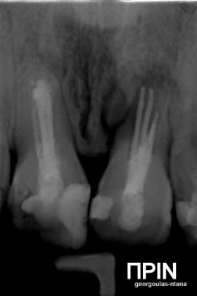
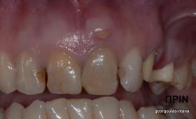
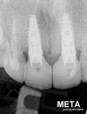
Στην ασθενή αυτή είχαν πραγματοποιηθεί 2 ενδοδοντικές θεραπείες (απονευρώσεις) που ακολουθήθηκαν από 2 ακρορριζεκτομές χωρίς επιτυχία. Η ασθενής ήταν δυσαρεστημένη με την όψη κ το χρώμα των δύο δοντιών και φυσικά με το πρόβλημα υγείας που δημιουργήθηκε. Πραγματοποιήθηκε εξαγωγή των δύο δοντιών, οστική αύξηση και τοποθέτηση 2 εμφυτευμάτων στις θέσεις των δύο κεντρικών τομέων. Τα δύο εμφυτεύματα αποκαταστάθηκαν με 2 υβριδικά κολοβώματα από διπυριτικό λίθιο και ολοκεραμικές στεφάνες ενώ στους 2 πλάγιους τομείς τοποθετήθηκαν επίσης ολοκεραμικές στεφάνες.