ΑΠΟΚΑΤΑΣΤΑΣΗ ΑΝΩ ΚΕΝΤΡΙΚΟΥ ΤΟΜΕΑ ΜΕ ΜΟΝΗΡΕΣ ΕΜΦΥΤΕΥΜΑ

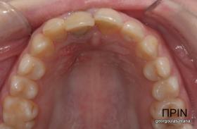
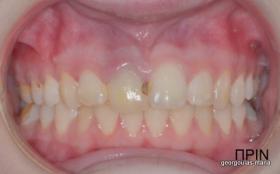
 Η κοπέλα αυτή ήρθε στο ιατρείο με κάταγμα στον δεξιό άνω κεντρικό τομέα. Το δόντι είχε απονευρωθεί στο παρελθόν και είχε αποκατασταθεί με βιδωτό άξονα κ ανασύσταση με ρητίνη και το αισθητικό αποτέλεσμα ήταν φτωχό. Η ασθενής ήθελε να είναι καλυμμένη αισθητικά για όσο χρονικό διάστημα θα διαρκούσε η θεραπεία. Πραγματοποιήθηκε τομογραφία κωνικής δέσμης (CBCT) στην περιοχή και αποφασίστηκε να γίνει εξαγωγή του δοντιού, διατήρηση του όγκου του φατνίου και 3 μήνες μετά τοποθέτηση εμφυτεύματος με ταυτόχρονη χρήση μοσχευμάτων σκληρών κ μαλακών ιστών  για βέλτιστο αισθητικό αποτέλεσμα. Το εμφύτευμα αποκαταστάθηκε με υβριδικό κολόβωμα από διπυριτικό λίθιο και ολοκεραμική στεφάνη από διπυριτικό λίθιο (Emax). Καθ’ όλη τη διάρκεια της θεραπείας, η ασθενής ήταν καλυμμένη αισθητικά με γέφυρα Meryland  συγκολλημένη στα δύο διπλανά δόντια. Μετά την οστεοενσώματωση του εμφυτεύματος και πριν την τελική αποκατάσταση, τοποθετήθηκε στο εμφύτευμα προσωρινή εργασία με σκοπό τη βελτίωση των ούλων.