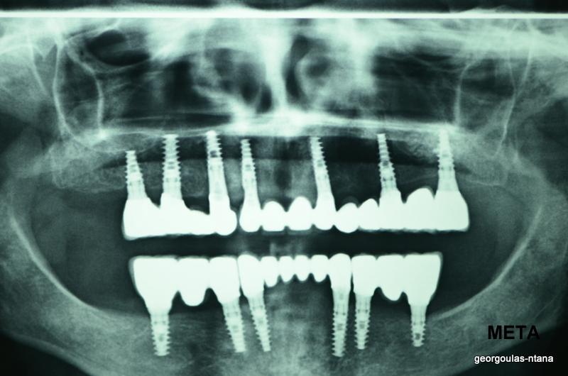
ΟΛΙΚΗ ΑΠΟΚΑΤΑΣΤΑΣΗ ΑΝΩ Κ ΚΑΤΩ ΓΝΑΘΟΥ ΜΕ ΟΛΟΚΕΡΑΜΙΚΕΣ ΣΤΕΦΑΝΕΣ ΑΠΟ ΔΙΠΥΡΙΤΙΚΟ ΛΙΘΙΟ(Emax)

 
περισσότερα...

ΑΠΟΚΑΤΑΣΤΑΣΗ ΑΝΩ ΚΕΝΤΡΙΚΟΥ ΤΟΜΕΑ ΜΕ ΜΟΝΗΡΕΣ ΕΜΦΥΤΕΥΜΑ

 
περισσότερα...

ΤΟΠΟΘΕΤΗΣΗ ΕΜΦΥΤΕΥΜΑΤΩΝ ΣΤΗΝ ΠΕΡΙΟΧΗ ΤΩΝ ΑΝΩ ΤΟΜΕΩΝ

 
περισσότερα...

ΑΝΟΙΚΤΗ ΑΝΥΨΩΣΗ ΙΓΜΟΡΕΙΟΥ Κ ΤΟΠΟΘΕΤΗΣΗ 3 ΕΜΦΥΤΕΥΜΑΤΩΝ

 
περισσότερα...

ΟΛΙΚΗ ΑΠΟΚΑΤΑΣΤΑΣΗ ΑΝΩ ΓΝΑΘΟΥ

 
περισσότερα...

ΑΙΣΘΗΤΙΚΗ ΑΠΟΚΑΤΑΣΤΑΣΗ ΑΝΩ ΠΡΟΣΘΙΩΝ ΔΟΝΤΙΩΝ ΜΕ ΟΛΟΚΕΡΑΜΙΚΕΣ ΣΤΕΦΑΝΕΣ ΑΠΟ ΔΙΠΥΡΙΤΙΚΟ ΛΙΘΙΟ (Emax)

 
περισσότερα...

ΠΡΟΣΘΕΤΙΚΗ ΑΠΟΚΑΤΑΣΤΑΣΗ ΣΤΗΝ ΑΝΩ Κ ΚΑΤΩ ΓΝΑΘΟ ΚΑΙ ΤΟΠΟΘΕΤΗΣΗ ΕΜΦΥΤΕΥΜΑΤΩΝ ΜΕ ΚΛΕΙΣΤΗ ΑΝΥΨΩΣΗ ΙΓΜΟΡΕΙΟΥ

περισσότερα...

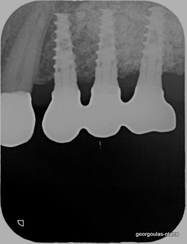
ΤΟΠΟΘΕΤΗΣΗ 2 ΕΜΦΥΤΕΥΜΑΤΩΝ ΣΤΗΝ ΑΝΩ ΓΝΑΘΟ ΚΑΙ ΚΑΤΑΣΚΕΥΗ ΓΕΦΥΡΑΣ ΕΠΙ ΑΥΤΩΝ

 
περισσότερα...

ΑΠΟΚΑΤΑΣΤΑΣΗ ΑΝΩ ΤΟΜΕΩΝ ΜΕ ΟΛΟΚΕΡΑΜΙΚΗ ΣΤΕΦΑΝΗ Κ ΟΨΕΙΣ ΠΟΡΣΕΛΑΝΗΣ

 
περισσότερα...

ΟΛΙΚΗ ΑΠΟΚΑΤΑΣΤΑΣΗ ΑΝΩ Κ ΚΑΤΩ ΓΝΑΘΟΥ ΜΕ ΕΜΦΥΤΕΥΜΑΤΑ, ΑΜΕΣΗ ΦΟΡΤΙΣΗ Κ ΑΝΟΙΚΤΗ ΑΝΥΨΩΣΗ ΙΓΜΟΡΕΙΟΥ

 
περισσότερα...

ΕΝΘΕΤΑ

 
περισσότερα...